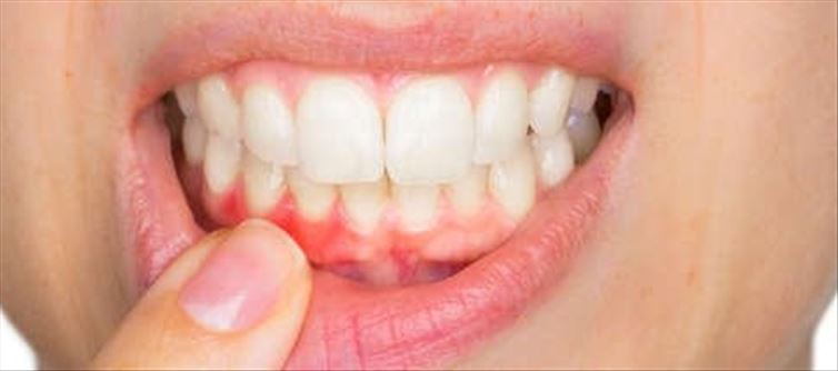
ఇక మనలో చాలా మంది బయట మార్కెట్లో లేదా షాప్స్ లో కొన్న టూత్‌ పేస్టులను వాడుతూ వుంటారు. అలాగే కొంతమంది తమ నోటి ఆరోగ్యాన్ని ఇంకా బాగా కాపాడటానికి ఇంట్లో తయారుచేసిన ఉత్పత్తులను ఎక్కువగా వినియోగిస్తూ వుంటారు. కానీ మన పాత కాలంలో చాలా కాలం క్రితం ప్రజలు ఆవ నూనె ఇంకా ఉప్పుని ఉపయోగించి పళ్ళని బాగా శుభ్రం చేసుకునేవారు. ఇక ఈ రెండు ఉత్పత్తుల కలయిక అనేది దంతాలను బాగా శుభ్రం చేయడానికి ఎంతగానో సహాయపడుతుంది.ఇక దంతాలపై వుండే మరకలను సులభంగా వదిలించుకోవడానికి ఇంకా చిగుళ్ళను బాగా శుభ్రం చేయడానికి చాలా కాలంగా అనుసరిస్తున్న పరిష్కారాన్ని ఇప్పుడు తెలుసుకోండి. ఉప్పు పళ్ళపైన మరకలను చాలా తొలగిస్తుంది. అలాగే మన దంతాలను ఎంతో ప్రకాశవంతం చేస్తుంది.

ఇక ఇది ఫ్లోరైడ్ యొక్క సహజ మూలం అని చెప్పవచ్చు. ఇది దంతాలు ఇంకా చిగుళ్ళకు చాలా ప్రయోజనకరంగా ఉంటుంది.ఇక అలాగే ఆవ నూనె కూడా చిగుళ్ళను బాగా బలపరుస్తుంది. అలాగే మచ్చలను సరళమైన పద్ధతిలో తొలగించడానికి ఇది ఎంతగానో సహాయపడుతుంది. ఇక ఈ మరకలు సాధారణంగా చిగుళ్ళపై సూక్ష్మక్రిముల వలన కలుగుతాయి.ఇక అలాగే ఆవ నూనెతో నోరు శుభ్రం చేసుకోవడం ఈ కొవ్వులో కరిగే బ్యాక్టీరియాను బయటకు తీయడానికి ఇంకా చిగుళ్ళలో రక్తస్రావం అనేది జరగకుండా ఉండటానికి ఎంతగానో సహాయపడుతుంది. ఇక ఉప్పు ఇంకా ఆవ నూనె రెండింటి వాడకం చిగుళ్ళలో మంటను బాగా తగ్గిస్తుంది ఇంకా రక్తస్రావాన్ని కూడా ఇది నియంత్రిస్తుంది.ఇక అందుకే దృడమైన మెరిసే పళ్ళ కోసం ఉప్పు ఇంకా ఆవగింజలను వాడండి.మనం అందంగా కనపడాలంటే ఖచ్చితంగా అందమైన చిరు నవ్వు అనేది ఉండాలి. అందమైన చిరు నవ్వు ఉండాలంటే అందమైన పళ్ళు ఉండాలి. ఇక అందమైన పళ్ళ కోసం ఈ పద్ధతులని ఖచ్చితంగా పాటించండి.

మరింత సమాచారం తెలుసుకోండి: