
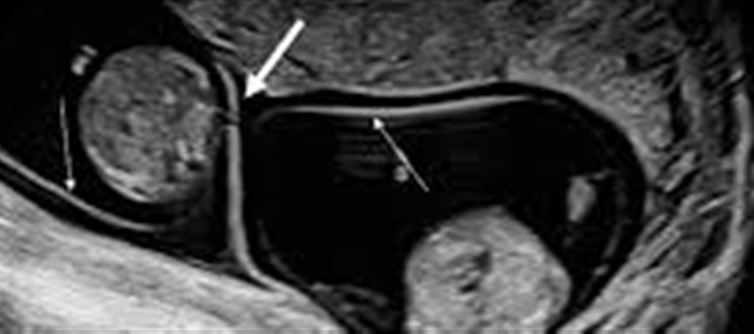
Monochorionic-diamniotic (MCDA) twins are a sort of equal (monozygotic) twins who share the identical placenta (monochorionic) however have separate amniotic sacs (diamniotic). This particular arrangement takes place while a unmarried fertilized egg splits into embryos among four and 8 days after fertilization.
Key features of MCDA Twins:
One shared placenta
Amniotic sacs
Separate umbilical cords
Same genetics and identical intercourse
Dangers and monitoring:
Due to the fact MCDA twins percentage a placenta, they share a blood supply. This can result in complications which include:
1. Dual-to-twin Transfusion Syndrome (TTTS)
A condition where one dual gets an excessive amount of blood and the opposite too little, leading to increase and heart problems.
2. Selective Intrauterine increase restrict (siugr)
One dual may not develop as well because of unequal placental sharing.
3.Preterm start
MCDA dual pregnancies regularly result in delivery before complete time period and require close monitoring.
How Are MCDA Twins diagnosed?
They're typically diagnosed at some point of the first-trimester ultrasound, which indicates one placenta and a skinny membrane separating the two sacs.
Care and management:
Common ultrasounds (regularly biweekly after sixteen weeks)
Monitoring for TTTS or boom variations
Planned delivery typically around 36–37 weeks to reduce risks
End:
MCDA twins are equal twins with a unique and higher-hazard setup. With near medical supervision and early detection of headaches, most MCDA twin pregnancies cause wholesome consequences for each babies.
Disclaimer: This content has been sourced and edited from Indiaherald. While we have made adjustments for clarity and presentation, the unique content material belongs to its respective authors and internet site. We do not claim possession of the content material.