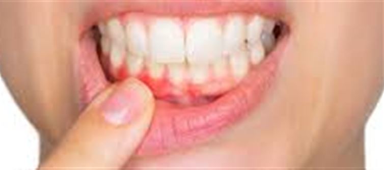
Gum infections are often overlooked until they cause pain, bleeding, or swelling. While lifestyle diseases like diabetes and hypertension get a lot of attention, oral health is equally important. Here’s a detailed list of common causes of gum infection and how to prevent them.

1. Poor Oral Hygiene

Neglecting your daily brushing and flossing routine is the most common cause of gum infections.

· Plaque buildup can lead to gingivitis, the earliest stage of gum disease.

· Over time, untreated plaque hardens into tartar, causing periodontitis, which can damage gums and teeth.

Quick Tip:

Brush at least twice a day and floss once daily to keep gums healthy.

2. Smoking and Tobacco Use

Tobacco products can weaken your immune system, making it harder for your body to fight off infections.

· Increases risk of gum recession and oral cancer.

· Delays healing and reduces effectiveness of dental treatments.

3. Poor Diet and Nutritional Deficiency

A diet lacking essential vitamins and minerals can affect your gums.

· Vitamin C deficiency can cause bleeding gums and slow healing.

· Excess sugar and processed foods fuel bacteria growth, increasing infection risk.

4. Hormonal Changes

Hormonal fluctuations in pregnancy, menstruation, or menopause can make gums more sensitive.

· pregnant women are more prone to pregnancy gingivitis.

· Puberty and menopause can trigger temporary gum inflammation.

5. Medical Conditions

Certain illnesses can contribute to gum problems:

· Diabetes reduces the body’s ability to fight bacteria, increasing infection risk.

· Autoimmune disorders can cause gum tissue inflammation.

6. Stress and Sleep Deprivation

Chronic stress and lack of sleep weaken immunity, making gums more susceptible to infections.

· Increases likelihood of bruxism (teeth grinding), which can damage gums.

7. Medications

Some medications, such as antidepressants, antihypertensives, and certain steroids, can reduce saliva production.

· Reduced saliva leads to dry mouth, which promotes bacterial growth and gum infections.

Bottom Line

Gum infections are preventable with good oral hygiene, a balanced diet, and regular dental checkups. Paying attention to your gums early on can prevent painful infections, tooth loss, and more serious health issues.

 

Disclaimer:

The views and opinions expressed in this article are those of the author and do not necessarily reflect the official policy or position of any agency, organization, employer, or company. All information provided is for general informational purposes only. While every effort has been made to ensure accuracy, we make no representations or warranties of any kind, express or implied, about the completeness, reliability, or suitability of the information contained herein. Readers are advised to verify facts and seek professional advice where necessary. Any reliance placed on such information is strictly at the reader’s own risk.

Find out more:

Gum