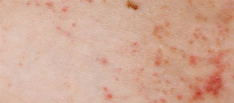
ఇక మన శరీరంలో మంచి కొలెస్ట్రాల్ ను హెచ్‌డీఎల్ అని అంటారు. అలాగే చెడు కొలెస్ట్రాల్ ని ఎల్‌డీఎల్ అని అంటారు. ఇక మంచి కొలెస్ట్రాల్ మన శరీరానికి మంచి చేస్తుంది.కాని చెడు కొలెస్ట్రాల్ చెయ్యదు. ఈ చెడు కొలెస్ట్రాల్ కనుక ఎక్కువ అయితే.. అనేక అనర్థాలు అనేవి చోటు చేసుకుంటాయి. ముఖ్యంగా గుండె జబ్బులు ఇంకా అలాగే పక్షవాతం వంటి వ్యాధులు వచ్చే అవకాశం ఎక్కువగా ఉందని ఆరోగ్య నిపుణులు ఎక్కువగా హెచ్చరిస్తున్నారు. అయితే శరీరంలో చేడు కొవ్వు ఎక్కువగా ఉందని .. కొన్ని లక్షణాల ద్వారా ముందుగా గుర్తించవచ్చని ఆరోగ్య నిపుణులు చాలా ఖచ్చితంగా చెబుతున్నారు. ఇక అవి అవేమిటో ఇప్పుడు ఇక్కడ తెలుసుకుందాం.బాడ్ కొలెస్టాల్ ఎక్కువగా ఉంటే .. రక్తం సరఫరాలో అనేక ఇబ్బందులు అనేవి ఏర్పడతాయి. ఒకొక్కసారి అధిక రక్తపోటు సమస్య కూడా వస్తుంది. అప్పుడు శ్వాస తీసుకోవడంలో కూడా ఇబ్బందులు ఏర్పడతాయి. ఇంకా ఛాతిలో కూడా నొప్పిగా ఉంటుంది. ఇక ఒకొక్కసారి ఈ చెడు కొలెస్ట్రాల్ ఎక్కువైనప్పుడు చర్మంపై పసుపు లేదా ఎరుపు రంగులో కురుపులు అనేవి వస్తాయి.

ముఖ్యంగా మన శరీర బాగాలైన మోచేతులు, మోకాళ్లు, చేతులు, పాదాలు ఇంకా అలాగే ముక్కుపై ఈ కురుపులు వస్తాయి.ఈ కురుపులు ఒకొక్కసారి పెద్దగా కూడా ఏర్పడతాయి. వీటిని ఒకొక్కసారి మొటిమలు అంటూ నిర్లక్ష్యం చేస్తూ చివరకు ప్రాణాల మీదకు తెచ్చుకుంటున్నారు. అయితే ఇలా కురుపులు కనిపించిన వెంటనే శరీరంలోని కొవ్వు గురించి డాక్టర్ దగ్గరకు వెళ్లి పరీక్ష చేయించుకోవాలని సూచిస్తున్నారు.ఇక ఆ పరీక్షలో వచ్చిన ఫలితాలను బట్టి ఖచ్చితంగా వైద్య చికిత్స తీసుకోవాలి. ఇక ముఖ్యంగా శరీరంలోని చెడు కొలెస్ట్రాల్‌ను తగ్గించి ఇంకా అలాగే మంచి కొలెస్ట్రాల్‌ను పెంచే దిశగా ప్రయత్నాలను కూడా కొనసాగించాలి. ముఖ్యంగా ఈ సమస్య వచ్చాక అందులోంచి బయటపడేందుకు ప్రయత్నం మొదలు పెట్టేకంటే కూడా ముందుగా నివారణ చర్యలు తీసుకోవడమే ఉత్తమం అని అంటున్నారు ఆరోగ్య నిపుణులు.బ్యాడ్ కొలెస్ట్రాల్ ను తగ్గించుకోవడానికి రోజూ ఖచ్చితంగా పౌష్టికాహారం తీసుకోవడంతోపాటు వ్యాయామం కూడా చేయాలి.ఇలా చేస్తే కొలెస్ట్రాల్ లెవల్స్ పూర్తిగా తగ్గుతాయి.

మరింత సమాచారం తెలుసుకోండి: