Doctors were shocked by a pregnant woman scanning report

Being a mother to a woman is said to be a great blessing. Many changes take place in a woman’s life with pregnancy. Yet every woman who is a mother enjoys her pregnancy. But not all women are lucky. Many women around the world face many problems during their pregnancy.
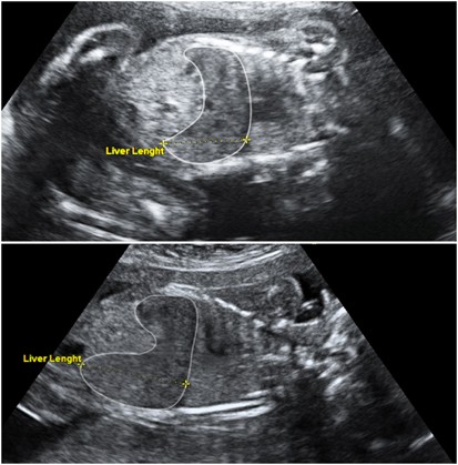
Recently, a 33-year-old woman came to the doctor for treatment. Doctors performed an ultrasound and confirmed that the woman was pregnant. However, the ultrasound report surprised the doctors as well as the woman. The thing is that even though the woman was pregnant, the doctors noticed that the baby was growing in her liver rather than in her womb.
Doctors after checking said the woman had an ectopic pregnancy in her liver. An ectopic pregnancy occurs when the egg begins to travel in the wrong direction in the fallopian tubes. Due to this, the pregnancy does not go well. It appears many times in the stomach, but for the first time, it appears in the liver.
Doctors who noticed it immediately operated on the woman and her life was saved. But the fetus had already died in the liver. In such a situation the doctors removed the dead fetus from the liver.

 A similar incident occurred in 2012 when an 18-week-old fetus was found in a woman's liver. The doctors operated on him. However, the woman died due to severe bleeding during treatment.

Find out more: