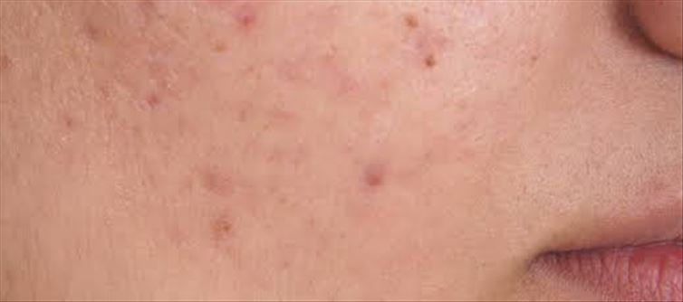
కొన్ని సందర్భాల్లో, మీరు హైపర్‌పిగ్మెంటేషన్‌తో బయటపడవచ్చు కానీ మరికొన్నింటిలో, మీ చర్మంలోని లోతైన ఇండెంటేషన్‌లను ఎదుర్కోవటానికి మీరు వదిలివేయబడవచ్చు. గమనించకుండా వదిలేస్తే, అవి ఎప్పుడైనా మసకబారడానికి చాలా సమయం పడుతుంది. కాబట్టి, మీరు ఈ పిట్డ్ స్కార్స్‌తో ఎలా వ్యవహరించగలరో తెలుసుకోండి.కెమికల్ పీల్స్, మైక్రో-నీడింగ్ రేడియో ఫ్రీక్వెన్సీ ఇంకా ఇంట్రాడెర్మల్ రేడియో ఫ్రీక్వెన్సీ, ఫ్రాక్షనల్ మినిమల్లీ అబ్లేటివ్ CO2 లేజర్ మరియు డెర్మల్ ఫిల్లర్లు మోటిమలు మచ్చలను దీర్ఘకాలికంగా తగ్గించడానికి సిఫార్సు చేయబడిన కొన్ని చికిత్సలు.రోలింగ్ స్కార్స్‌తో పోలిస్తే బాక్స్‌కార్ మచ్చలు చికిత్సకు మెరుగ్గా స్పందిస్తాయని అధ్యయనాలు సూచిస్తున్నాయి, అయితే ఐస్ పిక్ స్కార్స్ చికిత్సకు పేలవంగా స్పందిస్తాయి. అదేవిధంగా, పాత, లోతైన మచ్చలతో పోలిస్తే నిస్సారమైన ఇంకా అలాగే కొత్త మచ్చలు దాదాపు పూర్తి క్లియరెన్స్‌ను ప్రదర్శిస్తాయి.

మీరు మీ చికిత్స ఎంపికలను పరిశీలిస్తున్నప్పుడు, కొన్ని చర్మ సంరక్షణ పొరపాట్లు మీ మచ్చలను మరింత దిగజార్చవచ్చని గుర్తుంచుకోండి.చురుకైన మొటిమలను నిర్లక్ష్యం చేయడం, ప్రత్యేకించి అది తీవ్రంగా ఇంకా అవి మళ్ళీ పునరావృతమయ్యేటటువంటి ప్రధానమైనది కాదు, అలాగే చురుకైన మొటిమలను పదేపదే చూసుకోని వాటిని గిల్లి మళ్ళీ పెంచడం. అలాగే ఈ సమస్యను జఠిలం చేసే ఇతర తప్పులు సన్‌స్క్రీన్ అప్లై చెయ్యకపోవడం , ధూమపానం, చురుకైన మొటిమలపై బహుళ క్రియాశీల పదార్థాలను ఉపయోగించి స్వీయ చికిత్స ఇంకా చర్మవ్యాధి నిపుణుడిని సంప్రదించకపోవడం లాంటివి చెయ్యకూడదు.అందుకే మొటిమలు పెద్దవి కాకముందే ట్రీట్మెంట్ తీసుకోవడం బెటర్.భవిష్యత్తులో మచ్చలను నివారించడానికి యాక్టివ్ మొటిమలకు వెంటనే చికిత్స చేయండి, ఎందుకంటే మొటిమల మచ్చలను తొలగించడం కంటే యాక్టివ్ మొటిమలను మెరుగుపరచడం సులభం.ఇంకా మొటిమలు రాకుండా వుండాలంటే బాడీని ఎప్పుడూ కూడా హైడ్రెటెడ్ గా ఉంచుకోవాలి. అందుకే రోజుకి వీలైనన్ని సార్లు నీళ్ళని తాగుతూ ఉండాలి. నీటిని ఎక్కువగా తాగడం బాడీలో హీట్ అనేది తగ్గి మొటిమలు వచ్చే అవకాశం అనేది ఉండదు.

మరింత సమాచారం తెలుసుకోండి: